Scientists from The Pirbright Institute, in collaboration with others, have found immune cells designed to help clear infections could actually be aggravating respiratory disease caused by bovine respiratory syncytial virus (BRSV). The virus infects the lungs of cattle and is closely related to human respiratory syncytial virus (HRSV), which mostly affects infants but can also cause longer term complications such as asthma. 

The study, published in PLOS One, was the first to simultaneously examine hundreds of proteins involved in the response of calves to BRSV infection. Scientists found a link between the numbers of immune cells, called neutrophils, clinical signs of disease, lung tissue damage and the amount of virus in the lungs of calves infected with BRSV.

Neutrophils are thought to aid the clearance of BRSV and HRSV infections by removing virus infected cells, but when they appear in excessive numbers they seem to have the opposite effect. They release harmful substances that destroy the lung and physically block the airways. The scientists were able to show that large numbers of neutrophils contributed to some of the short term clinical signs associated with BRSV infections such as breathing difficulties.

The findings also showed that the exaggerated neutrophil response can also have longer term effects due to their ability to remodel lung tissue, which increases the time clinical signs take to clear even after the virus has been eliminated. One suggestion is that over stimulation of neutrophils in severe and early human RSV infections could also increase the likelihood of asthma.

Dr Geraldine Taylor, Honorary Fellow at Pirbright, said: “Understanding the proteins and chemicals involved in the overreaction of neutrophils will help us to see which pathways we can study further and target in order to treat the excessive inflammation seen in severe cases of RSV in both cattle and humans. Our findings suggest treatments that decrease the response of neutrophils could improve clinical signs both in the short and long term.”

This research has been the result of a collaboration between several institutes* and emphasises the importance of scientists sharing their expertise across the world to improve disease treatments.

 

*Dr Geraldine Taylor worked with scientists from the Swedish University of Agricultural Sciences, Uppsala University, Binzhou Medical University, the University of Nebraska Medical Center (UNMC), and INRA, Unite de Virologie et Immunologie. 

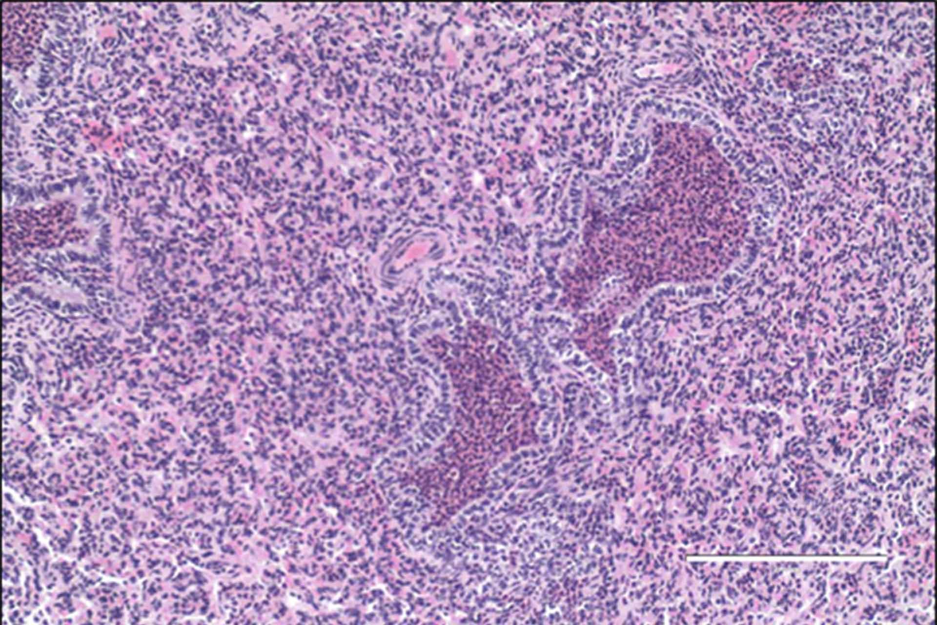
The image is courtesy of Dr Geraldine Taylor and shows a section of lung from a BRSV infected calf showing consolidated lung and bronchioles filled with neutrophils.