African horse sickness virus African horse sickness is a deadly virus spread by biting midges, affecting horses, donkeys, zebras, and other equine species.
African swine fever virus African swine fever (ASF) is a fatal, contagious disease impacting pigs globally, with severe economic, welfare, and conservation…
Alkhumra haemorrhagic fever virus Alkhumra haemorrhagic fever virus (AHFV) is an emerging tick-borne zoonotic virus.
Avian influenza virus Avian influenza (bird flu) affects birds globally and can infect humans, with potential to spark pandemics through new strains.
Avian leukosis virus Avian leukosis virus (ALV) infects avian species, causing tumors and productivity losses.
Bovine respiratory syncytial virus Bovine respiratory syncytial virus (BRSV) causes severe respiratory illness in cattle.
Chikungunya virus Chikungunya virus (CHIKV) infects humans and is primarily transmitted by mosquitoes.
Crimean-Congo haemorrhagic fever Crimean-Congo haemorrhagic fever (CCHF) is a severe tick-borne illness with high human mortality, affecting both animals and…
Dengue virus Dengue virus (DENV), present predominantly in tropical regions, is primarily transmitted to humans by infected mosquitoes.
Epizootic haemorrhagic disease virus Epizootic haemorrhagic disease virus (EHDV) infects deer, sheep, and cattle and is transmitted by biting midges.
Foot-and-mouth disease virus Foot-and-mouth disease virus (FMDV) is highly contagious, infecting cloven-hoofed animals and causing severe economic impact.
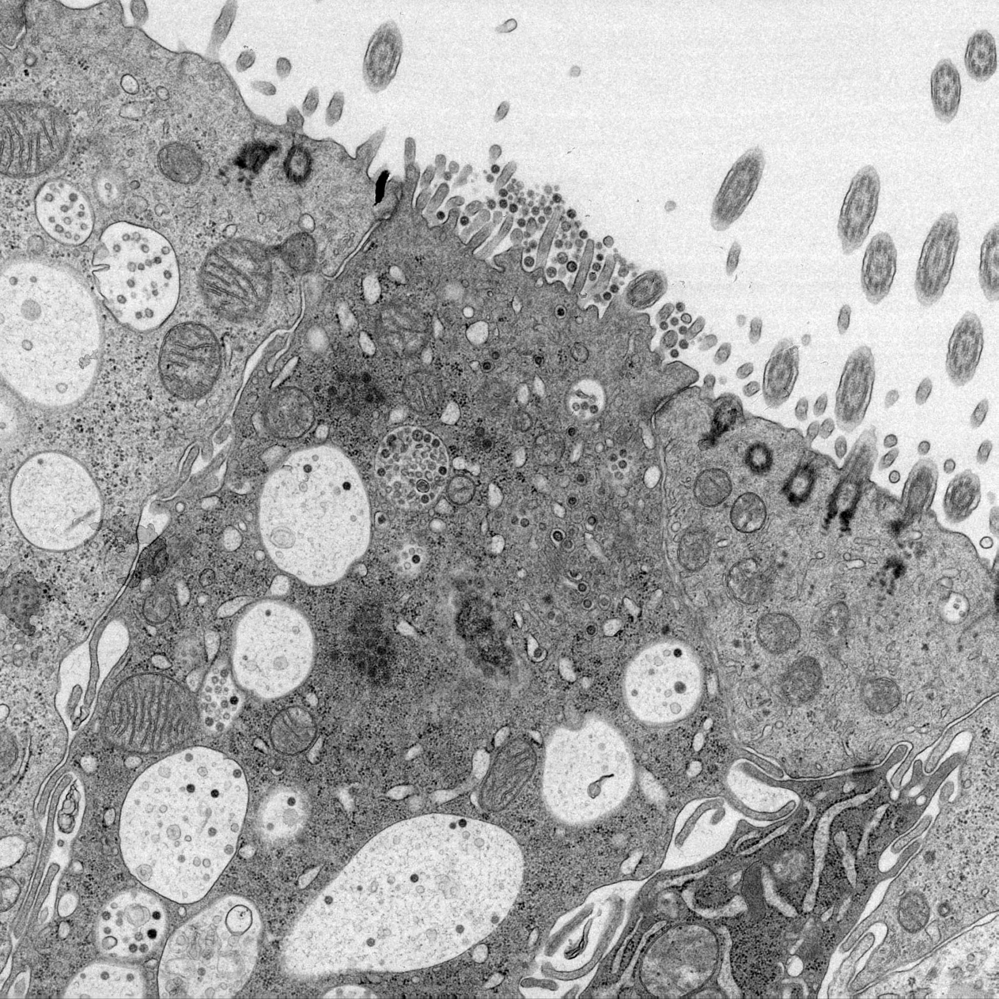
Human respiratory syncytial virus Human respiratory syncytial virus (RSV) infects the lower respiratory tract of humans, causing the fusion of infected cells into…
Infectious bronchitis virus Infectious bronchitis virus (IBV) is a highly infectious poultry pathogen.
Infectious bursal disease virus Infectious bursal disease virus (IBDV) causes Gumboro disease, which weakens the immune system of infected poultry.
Lumpy skin disease virus Lumpy skin disease virus causes lumpy skin disease (LSD) in cattle and buffalo, characterised by nodular skin lesions.
Marek's disease virus Marek’s disease virus (MDV) is a highly infectious pathogen that infects poultry.