Swine influenza (SI) viruses infect a wide range of hosts, but are endemic in pigs.

Swine influenza spreads through direct contact with infected animals or exposure to contaminated faeces and body fluids. 

Influenza viruses pose a significant health threat to both livestock and humans. In pigs, SI can lead to weight loss and poor growth, resulting in economic losses for farmers. Infected pigs can lose up to 12 pounds of body weight over a three to four-week period.

New strains of SI viruses emerge frequently, creating a constant risk that one could potentially spread easily among people. In 2009, the H1N1 strain caused an outbreak which spread globally, killing over 18,000 people.

SI outbreaks occur regularly during the winter in North America and Europe. Cases have also been reported in South Africa, Kenya, India, China, Hong Kong, Japan, Singapore, and South America.

Swine influenza is a notifiable disease and should be reported.

Please see the Defra website for advice on how to spot and report the disease.

Clinical signs:

  • Fever
  • Lethargy
  • Sneezing
  • Coughing
  • Difficulty breathing
  • Decreased appetite
  • In some cases the infection can cause abortion
  • Weight loss
  • Poor growth

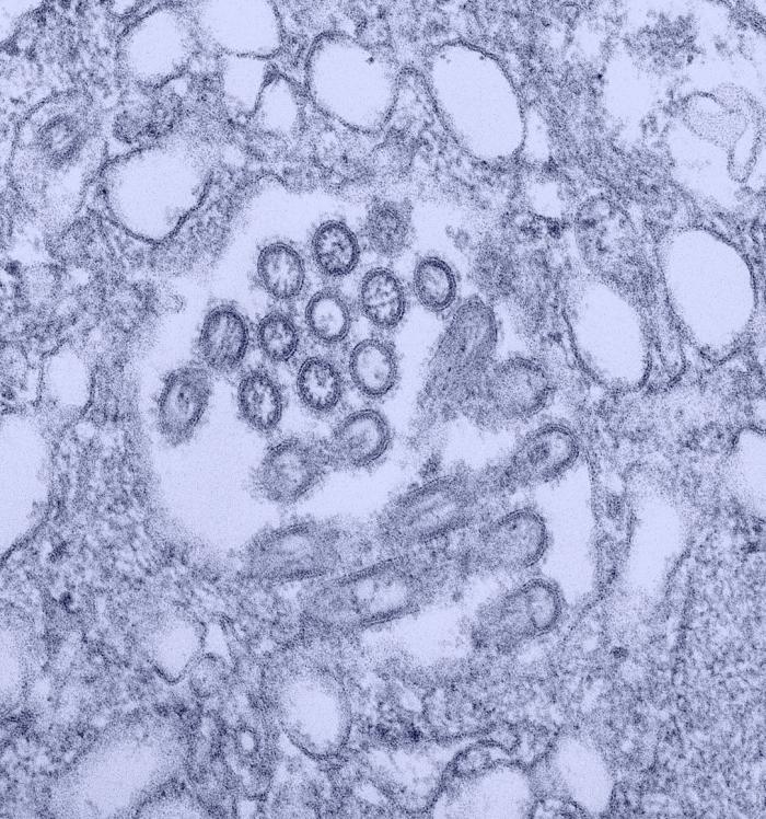
Virology

SI viruses are members of the family Orthmyxoviridae, and fall into the Type A and C categories. These are subdivided into categories (strains) depending on the outer proteins H (Haemagglutinin) and N (Neuraminidase). These outer proteins can be combined to create different strains, for example H1N1, H1N2. 

Influenza viruses have a single stranded RNA genome that is spilt into eight different segments.

Pirbright's research on swine influenza viruses

SI viruses are implicated in human influenza as sources of new influenza strains that are transmitted to humans by occupational exposure. Groups at the Institute are therefore researching how the immune system protects against SI and using this information to develop a 'universal' vaccine. It is hoped this vaccine will be able to protect against all strains of SI.